急性心肌梗死是最危重的心血管疾病,其特点是发病急、进展快、病情重,在数分钟内即可发展为心跳呼吸骤停,甚至死亡。11月10日下午,我院心内科医护人员以快速的应急能力、过硬的急救技能,与急诊科、介入导管室密切配合,成功抢救了一名急性心肌梗死合并心源性休克患者。

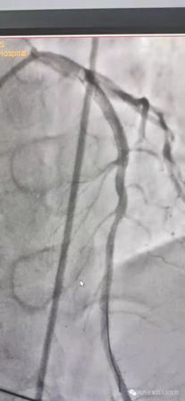
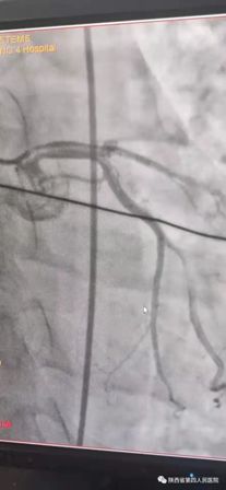
11月10日15时58分左右,家住医院附近的中年男性辛先生在家人陪伴下来到我院急诊内科门诊诊室,满头大汗,捂着胸口说胸痛、胸闷、气短,急诊科主治医师钟高亮立即安排床位进行留观给予吸氧、心电监护、查体,心电图提示:1、窦性心律;2、室性早搏;3、急性下壁、前壁心肌梗死,诊断:急性冠脉综合征、心肌梗死。随后患者在急诊科留观室病情突然加重,意识丧失、四肢抽搐、面色苍白、全身大汗、呼吸急促,心电监护提示心室颤动,判断其可能为急性心肌梗死心源性休克,急诊科和心内科医生立即行胸外心脏按压,电除颤三次等对症治疗,立即启动胸痛患者抢救应急预案,开启绿色通道,和患者家属谈话,为其迅速办理入院手续,给予升压补液扩容等抢救治疗,积极完善术前准备,联系医务科和介入导管室,于16时22分将患者转运至导管室,心内科主任、主任医师王选琦带领团队副主任医师孙耀林、王崇振,主治医师马艳萍共同夺取患者最宝贵生命时间,为患者选择了从下肢股动脉穿刺造影,从穿刺到开通血管用仅仅只用了十一分钟。16时33分顺利完成PAG PCI支架植入术后成功再通,患者转危为安,随后入住心血管内科CCU病房继续治疗。

(术前造影) (术后)
11月11日早上,副院长周栋到心内科CCU病房查房看望了该患者和家属,对危重症患者的成功抢救和胸痛中心成员科室医护人员密切配合的工作给予了充分肯定,并祝愿患者积极配合医护人员后续治疗,早日康复。患者家属非常感谢,称赞我院是真正建立了“一条绿色通道、一条生命通道,感谢医护人员给了我爱人第二次生命。”

急性心肌梗死早期积极开通心梗相关动脉,恢复有效的心肌再灌注是降低急性心肌梗死患者死亡率、改善预后的关键。门球时间(D2B door-to-balloon)特指急性心肌梗死患者从进入急诊科门口到开始球囊扩张的时间,美国心脏病协会和我国相关行业协会要求时间应控制在90分钟内。陕西省第四人民医院自胸痛中心成立以来,不断优化和改进就医流程,缩短D2B时间,医院能在门诊病人发作胸痛晕厥到平稳进入抢救室,并争分夺秒介入治疗,D-to-B时间达到60分钟,成功实施抢救,充分体现了我院作为“国家标准化胸痛中心、示范中心”的内涵实力和医院完善的心梗急救链和成熟的心脏介入水平。 (采编 党委宣传部)
啪啪啦 制氧系统及正、负压气站维保服务项目(三次)采购结果公示
2025-10-28啪啪啦 制氧系统及正、负压气站维保服务项目(二次)采购废标公告
2025-10-22【打造党建品牌 凝聚发展力量】啪啪啦 召开党建品牌创建工作推进会
2025-10-16